PERIO
歯周病治療
歯周病について
あなたは大丈夫?
歯ぐきチェック
下の項目で2つ以上チェックのついた方は、歯周病の可能性が高いのでご相談ください。
- 口臭が気になる
- 歯を磨くと歯茎から血が出る
- 唾液がネバネバする
- 最近歯が長くなった様に見える
- 歯茎が赤い
- 歯と歯の間に物が挟まりやすい
- 歯茎を押すと柔らかく、痛い
- 冷たいものがしみる
- 歯茎から膿が出ることがある
- 歯がグラグラする
歯周病の症状と進み方
-
歯茎が盛り上がったように赤く腫れて歯ブラシを行うと出血します。(歯肉炎)
-
腫れた歯肉と歯の溝にふくろのような歯周ポケットができます。
-
だんだんと歯肉が下がり、膿が出たり口臭が強くなったりします。
歯周組織再生療法 -
歯槽骨が溶け始め歯がぐらぐらし、末期には歯が抜けてしまいます。
インプラント
歯が抜けた後はインプラント治療をおすすめしています。
-
健康な歯茎
-
病的な歯茎
歯周病になる理由
口の中は細菌がいっぱいです。
歯磨きが正しく行われず、食べカスが残っていると細菌はこれをエサに増殖しプラークと呼ばれる菌塊をつくります。
このプラークが歯肉や歯を支える歯槽骨、セメント質、歯根膜などに炎症を起こします。
この細菌因子に喫煙などの環境因子、病気(糖尿病など)、噛み合わせなどがからみあって悪化します。
気づかない間に進行する歯周病
小学生から、歯周病(歯肉炎)にかかっている子もいます。
歯肉炎は、歯肉が炎症を起こして赤くなり、この状態ではブラッシングで十分治ります。
炎症がひどくなると、ブラッシングとともに歯石除去を行いますが、手遅れになると、歯石除去やブラッシングでは回復不可能になってしまいます。
歯を支える骨が溶けて動揺が著しくなり、口臭もひどくなります。
ここまでくると、歯を残すことができず、抜くことになります。
早めの相談が大切
当院は歯科衛生士を設け、歯周病治療・予防に力を入れております。
近年、成人が歯を喪失する一番の原因に歯周病があげられています。
早期発見、早期治療で歯を守るため、まずはお気軽にご相談ください
また、歯周病の治療が終わった後も、再発防止や進行の予防には生活習慣の改善が必要です。歯科医師、歯科衛生士から受けた指導や注意を守って再発を防ぎましょう。
特にブラッシングは重要で効果的に行っていくと、かなり重症の歯周病でも溶けていた歯槽骨や歯根膜が次第に治ってきて、グラグラだった歯の揺れが少なくなり噛み合わせも整ってきます。
歯周病治療の流れ
歯周病の原因は、歯と歯茎の境目にたまった歯石の中の細菌です。基本的な治療の流れは、検査~歯石除去などの治療~検査~治療を、歯ぐきの状態が改善するまで繰り返します。
-
Flow01
検査
歯周ポケットの測定やレントゲンで検査を行います。
-
Flow02
歯石(細菌)の除去
歯に付着した歯石(細菌)を取り除きます。
-
Flow03
改善具合の確認
歯周ポケットの深さを測定、改善具合を確認します。
-
Flow04
改善するまで繰り返し
改善が見られない部分はさらに深い部分の歯石を取り除きます。
※Flow3に戻り、メインテナンスまたは再生療法に移行します。
【その他、必要に応じて行う治療】
- 歯みがき指導
- 噛み合わせの調整
- 不適合なかぶせ物などのやりかえ
- 生活指導(タバコやストレスも治療に影響します)
※状態によっては外科的な治療を行う場合もあります。
歯周病治療は
根気が必要です
歯周病は長い期間を経て進行したものなので、治療も根気が必要です。
治療途中でやめてしまって、再度ご来院された時は症状が悪化しているといったことも少なくありません。
歯周病の治療は、当院だけでなく患者さまによる正しい歯みがきや生活習慣の改善など、当院と患者さまとが協力しあう事が重要です。
歯周病と全身との関わり
歯周病と生活習慣病の深い関係
健康診断で高血糖、高血圧、高脂血症、肥満などを指摘されたことのある方は多いでしょう。異常の程度が軽くても、これらは相互にからみあって糖尿病や心臓病などの生活習慣病のリスクを何倍にも高めます。こうした生活習慣のメカニズムに歯周病が影響しているらしいことがわかってきました。
歯周病は、細菌の感染による慢性の炎症です。細菌のつくる毒素や炎症をひきおこす物質が患部から血液中に入り、全身に悪影響をおよぼす可能性があるのです。
一方、糖尿病や骨粗鬆症などがあると、歯周病が進行しやすく、治りも悪くなることが知られています。
歯周病を全身との関わりでとらえることは、歯周病の予防、生活習慣病の予防、双方にとって大切といえます。
血圧・コレステロール・
中性脂肪が高めの方・
心臓に不安のある方へ
歯周病は心臓病のリスクを高める可能性があります。
歯周病になると、その原因となる細菌が血液中に入り、心臓などに感染を引き起こす場合があります。
心臓の内膜や弁膜に障害のある方にみられる細菌性心内膜炎は、その原因のほとんどが口の中にいる細菌ですので、予防には口の中を清潔に保つケアが欠かせません。
また、歯周病の原因菌が心臓をとり巻く冠動脈に感染すると、毒素や炎症を引き起こす物質が血栓を起こしやすくし、動脈硬化を進行させる可能性も指摘されています。
血圧、コレステロール、中性脂肪が高めの方は、歯周病があれば、しっかり治療し、心臓病のリスクを遠ざけたいものです。
血糖値が高めの方へ
糖尿病は歯周病を確実に悪化させます。
糖尿病になると、歯周病にもなりやすいことがわかっています。
血糖値が高い状態が続くと、たんぱく質に糖が結合したものが血液中に増え、歯肉もその影響を受けて炎症が悪化しやすくなりますので、血糖値の良好なコントロールが大切です。
また、遺伝的に糖尿病になりやすいアメリカのピマインディアンについての調査研究は、逆に歯周病の状態が糖尿病を悪化させる一つの証拠として注目されています。抗生物質により歯周病を治療すると、血糖コントロールの状態を示すHbA1c(ヘモグロビン・エー・ワン・シー)の値が改善したのです。
健康診断などで血糖値が高いといわれたら、食生活や運動不足を注意するとともに、歯科医院で歯周病チェックを受けましょう。
妊娠中の方へ
歯周病は低体重児出産・早産のリスクを高めます。
妊娠中は口の中の衛生状態が悪くなりがちなのに加え、女性ホルモンの血中濃度が高まります。歯周病の原因菌のあるものはその女性ホルモンを利用して増殖するため、歯肉の炎症が起きやすくなります(妊娠性歯肉炎)。
一方、歯周病にかかっている患部から、毒素や炎症をひきおこす物質が血液中に入り、胎盤を刺激すると、胎児の成長に影響を与えたり、子宮の収縮を促すなどして、低体重児出産(2500g未満)や早産(37週未満)のリスクが高まることが明らかにされています。
母親が進行した歯周病にかかっている場合、低体重児を出産する率が7倍以上になるともいわれています。
歯周病を防ぎ、軽度なうちにしっかり治療して、丈夫な赤ちゃんを産みましょう。
閉経後の方へ
骨折と歯周病に要注意です。
女性は閉経前後から、女性ホルモンの分泌低下に伴い、全身の骨密度が急速に低下しはじめます。
まるで鬆が入ったように骨の組織がすかすかになる病気を骨粗鬆症といい、骨粗鬆症による骨折は脳卒中とともに、寝たきりの二大原因にあげられます。
また、骨粗鬆症になると、歯周病が進行するリスクは約2倍に高まるといわれます。
閉経期以降は、骨折にじゅうぶん注意するとともに、歯周病を防ぐケアにもますます力を入れたいものです。
ご高齢の方へ
口の中を清潔に保つことが肺炎を防ぎます。
肺炎はがん、心臓病、脳卒中に次いで、死因の第4位を占め、特に高齢者でその率が急増します。口の中の衛生状態はその肺炎の発症とも深い関係があります。
食べ物を誤って気道に入れてしまい、歯周病の原因菌など口の中の細菌が肺や気管支に感染するケース(誤嚥性肺炎)は、寝たきりのお年寄りには特に多くみられますが、口の中が細菌の少ない状態に保たれていれば、そのリスクを減らすことができます。
そのためには、健康なときから、口の中を清潔に保つケアを習慣づけることが大切です。
万一、寝たきりや体が不自由になった場合も、家族や歯科医師・歯科衛生士の協力でお口のケアを続けたいものです。
歯周病の予防
歯周病の予防はブラッシング
あなたの歯磨き、間違っていませんか?
口の中の状態は各個人によってかなり違っています。
正しいブラッシング(磨き方、歯ブラシの選択)で歯周病を予防しましょう。
-
力の入れすぎによる摩擦
-
歯ブラシを縦にしてていねいに
-
歯間ブラシを使って
-
さし歯が歯肉を圧迫し、うっ血を起こしているので出血しやすい
-
歯と歯茎の間に45度の角度をつけて細かくブラッシング
-
入れ歯のバネのかかる歯はむし歯や歯周病になりやすい
ブラッシングのポイント
- 力を入れすぎないように(歯がすり減ってしまいます)
- 歯ブラシの大きさは小さめに(歯並びが悪いと小回りがききません)
- 歯磨剤は必要最低限に(少なくても十分効果があります)
- 毛先を歯と歯、もしくは歯と歯肉の間に入れてていねいに
- 歯周病で出血しやすい人は柔らかめの歯ブラシで歯肉のマッサージをする感じで
歯ブラシの毛先が広がってきたら、交換しましょう。
また、交換する期間は1ヶ月をめどにしましょう。
健康状態を正確に
歯科医師に伝えましょう
歯周病の予防には、歯間ブラシやデンタルフロスを用いたセルフケアが進められますが、どうしてもみがき残しができるもの。そこで、歯科医師・歯科衛生士の出番です。
プラークが石灰化してできる歯石は、歯科医院でとってもらいましょう。
軽い歯肉炎の段階なら、歯石の除去だけで治ることも多いものです。さらに重症化すると、病巣をきれいにするための外科処置などを行いますが、糖尿病の患者さまや心臓に不安がある方は、抗生物質などの服薬で経過を見た方がよい場合があります。
歯科医院を受診する際は、口の中の状態だけでなく、全身の健康状態を正確に伝えましょう。飲んでいる薬などがあれば、メモにしたり、処方箋のコピーなどを持参されることをおすすめします。
歯周組織再生療法
歯周組織再生療法とは
比較的軽い歯周病であれば、歯や歯の周りを清潔に保つ治療を続けることで治すことができますが、
炎症が歯肉の奥まで進行し、歯周組織の破壊がひどい場合には、歯周組織を回復させるための手術(歯周外科手術)が必要となります。
この手術の際に、歯周組織再生用材料という手術治療を補助するための、歯科用の材料が使われることがあります。
エムドゲインゲルについて
エムドゲインゲルは、スウェーデンのビオラ社で開発されたブタ歯胚組織を使用した新しい歯周組織再生用材料です。
エムドゲインゲルの主成分(エナメルマトリックスデリバティブ)
は、子供の頃、歯が生えてくる時に重要な働きをするたん白質の一種です。現在の科学水準に基づく
高い安全性確保の下、幼若ブタの歯胚から抽出精製したもので、世界44ヵ国以上で使用されています。
エムドゲインゲルを使った
治療方法
手術の前に
歯周組織の状態を調べるために、歯周ポケットの深さを計ったり、レントゲンを撮ったり、その他治療に必要な検査を行います。エムドゲインゲルを使った治療が行えるかどうかは、歯周病の程度や患者さまの 健康状態によっても異なりますので、担当医とよく相談して下さい。
歯周外科手術
手術は麻酔をかけて行います。まず、最初に治療する部分の歯肉を切開し、剥離します。(図2、3)
次に歯根表面の清掃を行い、エムドゲインゲルを塗布します。(図4、5)
最後に切開した歯肉部分を縫合し、手術は終了です。(図6)
手術にかかる時間は約1時間前後で、手術後、しばらく休んでいただいた後は帰宅できます。
抜歯は手術日から2~6週間後に行います。
手術後の注意点
術後のスケジュール例
手術創は速やかに治癒しますが、手術部分の歯みがき等は担当医の指示に従って下さい。
また、指や舌で手術部分を触らないで下さい。
手術後の感染を防ぐために、術後3~6週間は、消毒薬で口の中をよく洗浄するようにします。
抗生物質が処方された場合は、担当医の指示に従って服用して下さい。
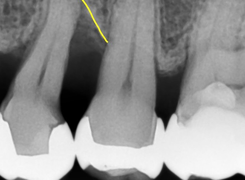
歯周組織再生療法の症例
-
01
治療前
重度の歯周病により、歯を支える骨(歯槽骨)がV字型に失われている状態です。
-
02
治療後
治療前の点線の位置から、治療後に実線のラインまで再生されたことを示しています。
| 治療内容 | 重度の歯周病により失われた歯槽骨(歯を支える骨)に対し、歯周組織再生療法(エムドゲインゲル使用)を行い、骨組織の再生を促した。 |
|---|---|
| 治療期間 | 処置約2時間、術後メインテナンス2ヶ月 |
| 費用 | 143,000円(処置88,000円+エムドゲイン薬剤22,000円+骨補填材33,000円) |
| 注意点 |
本治療は外科処置を伴います。 術後、一時的に腫れや痛み、歯がしみる(知覚過敏)などの症状が出ることがあります。 骨の再生量には個人差があり、期待される効果が得られない可能性もあります。 術後の口腔清掃が不十分であったり、定期的なメンテナンスを怠ったりすると、歯周病が再発するリスクがあります。 エムドゲインの特徴として口腔清掃状態が良ければ処置の効果(骨ができる可能性)が約2年続くと言われています。 |
定期的な受診について
機能的な歯周組織を取り戻すまでには、数ヵ月~から1年程度かかります。
歯周組織が再生する期間、および程度は個人差があり、歯周病の進行具合によっても異なります。術後のスケジュールの詳細も患者さまによって異なりますので、
担当医の指示に従い、必ず定期的な検査を受けるようにして下さい。治療が終了した後も、口の中の衛生状態を担当医に定期的に検査してもらうことをおすすめします。
歯周病を再発させないためには、歯や歯の周りをいつも清潔に保つことが大切です。
担当医と相談しながら、いつまでも自分の歯を大切にして下さい。
歯周組織再生療法の料金
| 歯周組織再生療法標準料金 |
1回 88,000円 薬材料 22,000円~55,000円 ※使用する薬剤によって変動します。 |
|---|
※別途薬剤料が必要になります。
※掲載の料金は税込の金額です。
歯周組織再生療法の治療期間
約8週間(8週間後も定期的な受診が必要です。)
歯周組織再生療法の注意点
保険診療適用外となりますので自費診療の扱いになります。
レーザー治療
人にやさしいレーザー治療
レーザー治療器は光によって虫歯部分を溶かしたり、歯周病治療、殺菌・ホワイトニング・に使用します。
痛みが非常に少なく従来のような削る器具が出す不快な音もなく、安心して治療が受けられます。殺菌力が強く、刺激が少ないため口内炎の治療などでも治癒が速やかです。
- 虫歯の部分だけを削ります。
- 不快な「キィーン」という音がありません。
- 「ガリガリ」という振動がありません。
- 痛みが少なく、ほとんど治療が麻酔無しでできます。
- 歯周病細菌等の殺菌、疼痛緩和、治療促進予防等の効果があり、治りが早いです。
レーザーによる歯周病治療・
急性症状に対する消炎処置
- 当院にエルビウムヤグレーザーでは瞬間的に歯周ポケット内の細菌を死滅させることが可能です。
- 炎症や痛みをおさえ、早く治します。
- 治癒の促進にも効果的です。
| 治療内容 | 歯周ポケット内、腫れのある部位にレーザー照射します |
|---|---|
| 治療期間 |
治療回数:1回~3回 治療期間:1週間~2週間 |
| 費用 | ¥990(税込み) |
| 注意点 |
別途、洗浄・投薬を行います。 歯周病が治癒するわけではありません。 |
Q&A
-
Q
歯周病ってなんですか?
-
成人の歯を失う原因、第1位の病気です。
一言で言うと、歯茎が腫れて顎の骨が溶かされる病気です。
重度になるまで痛みがほとんどでないので気付きづらい病気です。
担当医に言われた方も言われない方も、ご心配な方は一度ご相談ください。 -
Q
歯周病を悪くする要因は
何ですか? -
歯周ポケットの中に隠れて見えない歯石と喫煙です。
目で見るところにつく歯石よりも、歯と歯ぐきの隙間に隠れて見えない歯周ポケットの中の歯石(歯肉縁下歯石)が歯周病を悪くします。
タバコを吸う人は、吸わない人よりも歯周病を引き起こしやすく悪化のスピードが早いため、治療してもなかなか改善されません。
ニコチンが血流を悪くするため歯ぐきに酸素や栄養が行き渡らず、歯ぐきの抵抗力が弱ってしまいます。 -
Q
歯周病が悪化しているかどうかはどうしたらわかりますか?
-
出血は歯周病の特徴。歯周ポケットの深さで進行の度合いがわかります。
歯周病がどれだけ進行しているかは、歯ぐきの状態を見ればわかります。
歯ぐきからの出血は歯を支える歯ぐきに炎症がある証拠で、歯周病の特長的な症状といえます。炎症が進み歯周ポケット(歯と歯ぐきの隙間)ができるほどになると歯を支えているアゴの骨の一部である歯槽骨の破壊がはじまります。
歯周ポケットの深さが4mm以上になると症状はかなり進行しているといえます。
ポケットの中は歯周病菌が繁殖しやすい環境なのでどんどん増殖し、歯周ポケットの深さが6mm以上になると歯槽骨の破壊がさらに進み、ついには歯が抜けてしまいます。 -
Q
歯周病は口以外の病気と
関係がありますか? -
歯周病はさまざまな全身疾患のリスクになります。
歯や歯ぐきの健康は口の中だけでなく全身と関係しています。
口の中には何百種類という細菌が生息していますが、口から体の中に入り込むとさまざまな病気をひきおこすことが知られています。
たとえば心臓病、肺炎、糖尿病、早産などです。歯周病は歯周病菌の塊である歯垢(プラーク)や歯石による歯ぐきの炎症ですが、たかが口の中の病気とあなどってはいけません。肺炎
歯周病菌が肺に感染し肺炎になることがあります。
心臓病
重症になると歯周病菌による炎症から血栓(血の固まり)ができやすくなるため、動脈硬化を招き、心筋梗塞や狭心症などを引き起こすことがあります。また心臓の内側にある心内膜の炎症を引き起こし、細菌性心内膜炎になる場合もあります。
糖尿病
歯周病が糖尿病を引き起こすだけでなく、糖尿病の患者さまが歯周病にかかっていると血糖コントロールが難しくなり、さらに悪化してしまう可能性があります。
早産
歯周病菌による口内の炎症が胎児の成長に影響し早産を引き起こすことがあります。歯周病の妊婦は歯周病でない妊婦と比べて、早産や未熟児を出産する確率が7倍になるともいわれています。
-
Q
歯石はどのようにしてとりますか?
-
来院いただき、専用の器具で取ります。
歯石は固く、自分で取ろうとすると歯ぐきを傷つける可能性が高いので、歯科医院で取ります。
歯石の除去(スケーリング)には、主に超音波スケーラーとハンドスケーラーという器具を使います。
歯石を取ることは歯周病の予防・治療に大変重要なので、定期的に歯科医院で歯と歯ぐきのチェックをし、歯石を取りましょう。 -
Q
歯と歯ぐきのメンテナンスは定期的に受ける方がいいの?
-
ブラッシングには限界があります。
定期的なお口のメンテナンスで歯石が小さいうちから予防に努めましょう。自分でできる歯周病予防はブラッシングですが限界があります。
みがき残しの歯垢(プラーク)はいずれ小さな歯石になるからです。
歯石を除去したあとも同じです。
歯周病の本格的な予防には歯科医院での年3~4回の定期的な検診、歯石除去が効果的です。 -
Q
歯周病が悪化しているかどうかはどうしたらわかりますか?
-
出血は歯周病の特徴。歯周ポケットの深さで進行の度合いがわかります。
歯周病がどれだけ進行しているかは、歯ぐきの状態を見ればわかります。
歯ぐきからの出血は歯を支える歯ぐきに炎症がある証拠で、歯周病の特長的な症状といえます。炎症が進み歯周ポケット(歯と歯ぐきの隙間)ができるほどになると歯を支えているアゴの骨の一部である歯槽骨の破壊がはじまります。
歯周ポケットの深さが4mm以上になると症状はかなり進行しているといえます。
ポケットの中は歯周病菌が繁殖しやすい環境なのでどんどん増殖し、歯周ポケットの深さが6mm以上になると歯槽骨の破壊がさらに進み、ついには歯が抜けてしまいます。
