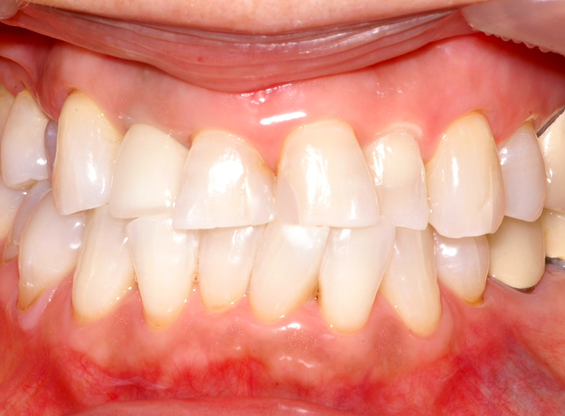
WHITENING
ホワイトニング
オフィスホワイトニング

BRILLICAスタイルでリラックスしながら院内でホワイトニング!
BRILLICAは、直接開口器に取り付ける、新しいタイプのホワイトニングです。
本体約140gという軽量設計ですので、患者さまの負担はありません。 また、動いても照射位置が一定なので効率的な施術が可能になり、患者さまの動いてはいけないという負担が軽減されます。
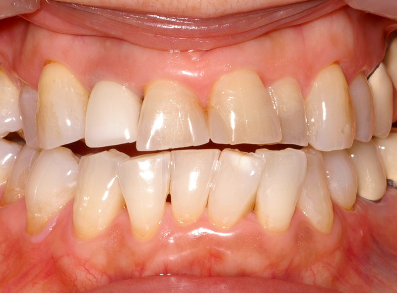
ホームホワイトニング

当院でのオフィスホワイトニングの後に、ご自宅でできるホワイトニング!
ティオンホームのホームホワイトニング材はジェル状で、マウストレーに注入する際には流れにくい性質を持ちながら、口腔内へのマウストレー装着時には歯面へムラなく均一に広がる流動性を発揮します。
また温度・湿度の高い口腔内から流れ出にくく、安心してお使いいただけます。
ホワイトニングの流れ
- Flow01
インフォームドコンセント

診断・説明をします。
- Flow02
オフィスホワイトニング

- 本材を歯の表面に塗ります。
- 歯をクリーニングします。
- 光を当てて効果を促進させます。
- 本材を拭き取り、水洗後に歯面研磨します。
※速やかにFlow3に移行します。
- Flow03
ホームホワイトニング

ホームホワイトニングの説明・開始。
まずは2週間、ホームホワイトニングを行っていただきます。 - Flow04
経過観察・シェードチェック

ホームホワイトニングを2週間続けていただきましたら、一旦当院にお越しいただき、経過観察およびシェードチェック(歯の色の変化の確認)を行います。
- Flow05
ホームホワイトニング

ご希望があれば追加分の薬剤をお渡しし、さらにホームホワイトニングを続けていただきます。患者さまが白さにご満足くださるまで続けていきます。
ホームケア(ホームホワイトニング)の方法
- Flow01

患者さまの口腔内に合わせてお作りしたマウストレーを用意します。
- Flow02

1歯あたり米粒2つ分を目安に、ホームホワイトニング材を注入します。
- Flow03

装着します。ホームホワイトニング材が行き渡っていることを確認し、はみ出していたらすぐに拭き取ってください。
- Flow04

ホワイトニング終了後、マウストレーを歯ブラシで洗浄します。
- Flow05

洗浄後、水分をよく拭き取りトレーケースで保管、ホームホワイトニング材は冷蔵庫で保管してください。
ホワイトニングの料金
| ホワイトニング標準料金 (オフィスホワイトニング・ホームホワイトニングを組み合わせた治療) |
上下顎 55,000円 |
|---|
※掲載の料金は税込の金額です。
ホワイトニングの
治療期間/回数
オフィスホワイトニング 1回+ホームホワイトニング約2週間
(ホームホワイトニングは、御希望があれば薬剤を購入していただき延長可能。)
ホワイトニングの注意点
- 知覚過敏による痛みを感じることがあります。
- 効果には個人差があるため、必ずしも目安回数で希望の白さにならない場合もございます。
※ご要望の白さによって治療期間や回数、金額が異なります。初回の診察で詳細をご説明します。 - 保険診療適用外となりますので自費診療の扱いになります。
Q&A
-
Q
なぜ歯が黄色くなるの?
-
【1】生活習慣による汚れ
個々の生活習慣により、歯の表面や内部に色がついてしまうことがあります。
茶渋や、たばこのヤニ、赤ワインやコーヒー、コーラやカレーなどの原因になるものは私達の周りにたくさんあります。【2】加齢による変色
年齢を重ねるごとに徐々に歯の色は濃くなります、歯の内側にある象牙質の新陳代謝が低下することで、歯の色が黄色くなります。【3】歯の構造の変化
歯の病気や外傷、薬の副作用で歯の色が変化することがあります。
胎児の時期に母親が服用した抗生物質や小さい子供のころに服用した抗生物質の影響でも変色してしまいます。 -
Q
一度白くなった歯はどの位の間、白くいられるのですか?
-
ホワイトニングは、いわゆる漂白剤です。
白くなってから、その人の食生活や喫煙などの習慣によってかなり差があります。
だいたい2年前後と思われます。 -
Q
治療回数はどの位かかりますか?
-
個人差がありますが、3回程度の治療でかなり白さが自覚できます。
当院では、オフィスホワイトニング(ご来院いただきホワイトニング)の後、ホームホワイト(ご自宅でホームケア)を行っていただく流れをおすすめしております。
期間や回数はご要望に合わせてご案内いたしますので、お気軽にご相談ください。 -
Q
治療費はどの位かかりますか?
-
トータル5万円程度です。
回数、量によっても違いがありますので、来院時にご相談ください。


